高科技数位设备+牙科美学认证打造完美全瓷牙冠
- 登载于 保健123
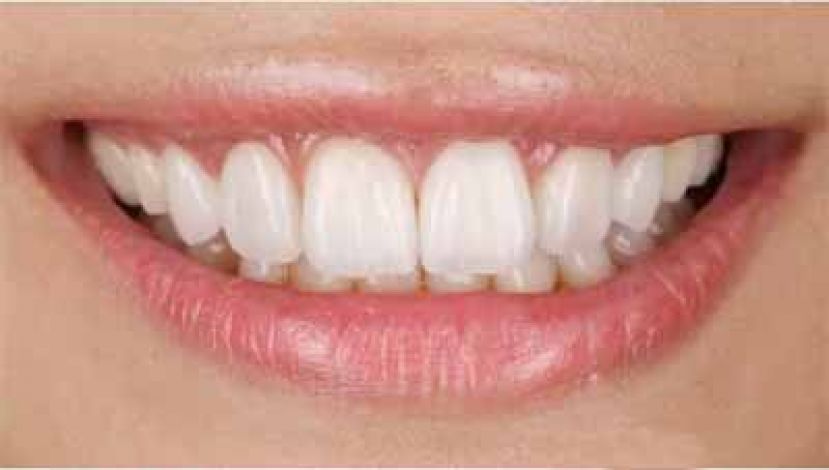
(健康医疗网/记者吴佩均报导)现代人重视外貌,有一口美齿能够让人更有自信。当有美齿的需求,患者最担心的,往往是假牙美观与心中的期待不符合的状况;如今透过数位微笑设计门诊搭配数位全口扫描设备,将可以量身订做完美的全瓷牙冠,解决患者的顾虑,让你也能拥有明星般的笑容。
数位微笑设计门诊 前牙美观由患者自己决定
DSD数位微笑美学设计国际认证医师沈志容表示,过往若想要让牙齿更美观,多数人会直接到牙医诊所报到,但因无法预知假牙完成的样子,所以就像赌注,若成品不喜欢但已经黏死就只能劳命伤财;而现在数位微笑设计门诊是当患者前来谘询时,先由牙医师评估口内状况后,让患者参与医师设计,讨论如何改善牙齿美观问题,接著替患者拍摄全口及人像照片及影片进行模拟,运用数位微笑设计(DSD)将假牙外观模拟在照片上,再将制作完成后的3D列印模型,在口内进行实际试戴模拟,让牙齿在还没做任何修磨之前,就先看到未来完成的样子,使假牙成品可以更容易达到患者理想的牙齿外观需求。
前牙美学认证医师 让牙齿更美观
沈志容医师指出,近年来除了牙齿健康外,对于牙齿美观意识也跟著抬头,看牙不再只是单纯的治疗,同时也需兼具颜面整体的美感,让患者的牙门面更美观,正因患者对牙齿美观需求变大,所以目前也有愈来愈多牙医师会到国外取经,经由一连串的训练后,再回台湾造福更多有牙齿美观需求的患者。
数位高科技设备 一天就能打造完成
因应对于美齿需求者愈来愈多,沈志容医师说,数位微笑设计门诊搭配数位设备,像是全瓷牙冠研磨机,其不仅精准度提升,且约10分钟内即可完成单一全瓷牙冠研磨,省去过往需花费大笔时间的工作天,而数位全彩口腔扫描仪则能取代传统印模,不仅能减轻患者的不适,同时能将病患口内的牙齿状况以3D画面清楚呈现,客制化出适合患者牙齿牙冠的形状,如美观区多颗牙贴片需求约一天时间就能完成假牙制作;对于工作繁忙的上班族,或其他特定需求者等看诊时间较少的民众而言,相当适用。
顾好全瓷牙冠 清洁+定期追踪是不二法门
不少患者在换上假牙后,总会询问医师还能咬硬物或是还会蛀牙吗?沈志容医师强调,虽然现在材料与技术已经相当进步,一般可正常咀嚼食物,但仍不建议咬太硬的东西,如螃蟹壳、骨头、冰块等,否则仍可能提高损坏全瓷牙冠的风险;而全瓷牙冠的保养与真牙的保养两者无异,利用刷牙及牙线将全口牙齿彻底清洁干净,并定期追踪检查,才能保持一口干净又健康的好牙!
(文提供/优活健康网编辑部)
